 |

This person needs a partial denture
to replace some missing teeth, but can retain the natural teeth
that are still there. |

These partial dentures, which have
a clasp attachment, will replace the missing teeth.
|

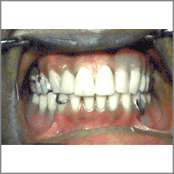
Partial dentures with a clasp
attachment in the patient's mouth. Themetal of the clasps is
visible, but will not show during everyday activities. |

A partial denture with a precision
attachment in a patient's mouth. The clasps are not visible.
|

A precision attachment on a crown
covering the tooth next to the missing teeth.
|

This shows how an attachment on the
denture would slide into the crowned tooth. If this were a real
denture, the denture teeth would be blocking the view of the
attachment. |
|
|