Home » Our Services » Children Dentistry

Children Dentistry


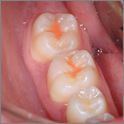
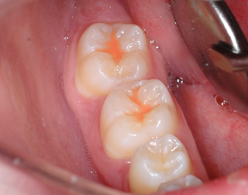
Sealants
What are common causes of decay?
Combination of bacteria, saliva and food particles form a thin, sticky film on the tooth surface which is called as Plaque. The plaque accumulated on the tooth surface releases acids which react with the tooth enamel and damage it. Repeated damage to the enamel leads to decay.
What do you mean by a sealant?
Grooves of the teeth are the common target areas of decay which are filled by a resin material called as Sealant. Protection of the tooth from further damage and shielding it from future infections are the functions of a sealant. It has been almost ten years since sealants were first used and have become a painless, low-cost and secure alternative to shield the teeth from decay.
Why are sealants essential?
While developing, grooves are formed on the teeth. These grooves are fissures and pits and are the most common target of decay. Toothbrush bristles aren't thin enough to reach down into these grooves and eradicate bacteria and food particles stuck in them. Sealant acts like a plug which prevents bacteria and food particles from getting trapped in the grooves.
What is the application process of sealant?
  • The teeth are cleansed.
  • After that, a cotton ball is placed on the teeth to dry them and maintain the dryness.
  • Sealant gets bonded easily to a slightly rough surface for which a chemical solution is added on the teeth.
  • After that, the teeth are washed and dried and another cotton ball is placed to keep them dry.
  • After that, the teeth are washed and dried and another cotton ball is placed to keep them dry.
What is the ideal time to get a sealant and who are compatible to get it?
Both children and adults can benefit from getting a sealant to treat decay as decay is not age limited. Children profit from receiving sealants on their permanent posterior teeth as soon as the teeth fully erupt which prevents any decay attack. Sealants maybe useful for teenagers and adults who do not have fillings or decay.
Is sealant suitable for all teeth?
Sealants are normally used on decay free teeth. Premolars and Molars are normally sealed. Sealant helps remove food particles and bacteria from the grooves whereas fluoride only shields smooth surfaces.
Is sealant suitable for baby teeth?
There is no need of using sealant on baby molars. In case the risk of getting decay is higher then sealants are used on baby molars too. Eruption of permanent teeth can cause crowding if baby teeth which are also known as ''space holders'' are lost to tooth decay.
For how long does the sealant process last?
A onetime appointment of about an hour is enough to get a sealant.
For what amount of time do sealants last?
Normally, sealants easily last for about a decade. Sealant replacement is easy in case of chipping. Routine dental checkups are sufficient to check for any issues. Presence of sealants ensures complete protection from decay. Chewing on hard candy and ice cubes is detrimental for sealants.